Desarrollo sustentable, Negocios, Emprendimiento y Educación

ISSN: 2695-6098

Año 8 N.º 77 - Marzo 2026

 

Carcinoma pulmonar ocupacional asociado a neumoconiosis por sílice en trabajador del acero: reporte de caso

 

Maria Fernanda Rivera Silva

Residente de Medicina del Trabajo y Ambiental, IMSS

fernandarivera407@gmail.com

Carolina Álvarez Chaparro

Residente de Medicina del Trabajo y Ambiental, IMSS

ORCID: 0009-0002-1827-6243

carolinaalvarezch98@gmail.com

Betsabe Sahori Juarez Leaños

Especialista en Medicina del Trabajo y Ambiental, IMSS

betsyjuarez@hotmail.com

 

RESUMEN

Introducción: La sílice encontrada en rocas, suelo y arena es comúnmente la materia prima en la industria de la construcción, acerera y minera. Su inhalación de manera prolongada en forma de partículas de polvo provoca neumoconiosis, se asocia a fibrosis pulmonar y, junto con el tabaquismo, aumenta el riesgo de carcinoma pulmonar. Presentación del caso: Se expone el caso de un hombre de 59 años, fumador (17 paquetes-año), con 29 años de exposición continuada al polvo de sílice como operario en una planta acerera. Fue diagnosticado con neumoconiosis por sílice y posteriormente desarrolló carcinoma pulmonar. La relevancia del caso radica en la interacción de factores ocupacionales y personales que influyeron en la aparición y progresión del daño pulmonar. Objetivo: El objetivo es resaltar la importancia de las condiciones laborales seguras y vigilancia de salud periódicamente en trabajadores expuestos a químicos, así como destacar la necesidad de medidas preventivas eficaces como el monitoreo ambiental, aplicación de pirámide de control de riesgos con el fin de prevenir consecuencias en la salud del trabajador. Material y métodos: Se realizó un estudio de caso tipo transversal utilizando un periodo de tiempo cualitativo e interpretativo. Conclusión: El caso descrito sustenta la relación entre la exposición ocupacional prolongada a sílice cristalina, la neumoconiosis y el posterior desarrollo de carcinoma pulmonar en un trabajador del acero. Este hallazgo alerta sobre los riesgos laborales y subraya la necesidad de aplicar la normativa vigente para la prevención de agentes químicos contaminantes.

Palabras clave: exposición ocupacional, neumoconiosis, sílice, carcinoma, higiene, prevención.

Occupational lung carcinoma associated with silica pneumoconiosis in a steel worker: a case report

ABSTRACT

Introduction: Silica found in rocks, soil and sand is a raw material in the construction, steel and mining industries. Prolonged inhalation of silica in the form of dust particles causes pneumoconiosis, is associated with pulmonary fibrosis and, together with smoking, increases the risk of lung cancer. Case presentation: We present the case of a 59-year-old man, a smoker (17 pack-years), with 29 years of continuous exposure to silica dust as a steelwork worker. He was diagnosed with silica pneumoconiosis and subsequently developed lung cancer. The relevance of the case lies in the interaction of occupational and personal factors that influenced the onset and progression of lung damage. Objective: The objective is to highlight the importance of safe working conditions and periodic health surveillance in workers exposed to chemicals, as well as to emphasize the need for effective preventive measures such as environmental monitoring and application of a risk control pyramid in order to prevent consequences on worker health. Materials and methods: A cross-sectional, qualitative, and interpretive case study was conducted over a period of time. Conclusion: The case described supports the relationship between prolonged occupational exposure to crystalline silica, pneumoconiosis, and the subsequent development of lung cancer in a steelworker. This finding raises awareness of occupational risks and underscores the need to apply current regulations for the prevention of chemical contaminants.

Keywords: occupational exposure, pneumoconiosis, silica, carcinoma, hygiene, prevention.

 

INTRODUCCIÓN

La neumoconiosis por sílice es una enfermedad pulmonar intersticial causada por la inhalación de partículas de polvo sílice, el cual es un mineral encontrado en rocas, suelo y arena, comúnmente usado en la industria metalúrgica y de la construcción. Este, en combinación con hábitos nocivos como el tabaquismo, actúa en conjunto y contribuye a incrementar el riesgo para el desarrollo de fibrosis pulmonar de manera progresiva, lo que puede resultar en una disminución significativa de la función respiratoria y una tendencia a presentar complicaciones graves, incluyendo cáncer. La exposición ocupacional al polvo de sílice se ha asociado con un aumento del riesgo de varios tipos de cáncer, siendo el carcinoma pulmonar el más relevante en este contexto. La incidencia de este tipo de cáncer en trabajadores del acero, que suelen estar expuestos a niveles elevados de sílice, es preocupante y ha motivado investigaciones acerca de la interrelación entre la neumoconiosis y el desarrollo de cáncer de pulmón. Por ello es importante entender los mecanismos que explican esta relación y además qué factores relacionados con el trabajo hacen que el problema se agrave (IMSS,2010) (Garcia,2023).

El presente estudio se enfoca en la evaluación de un caso de carcinoma pulmonar manifestado en un trabajador del acero con diagnóstico de neumoconiosis por sílice, esto con el objetivo de analizar y exponer las repercusiones en la salud asociadas a esta enfermedad en la población ocupacionalmente expuesta. Mediante la recopilación de datos en la historia clínica y laboral del paciente, los síntomas presentados y los resultados de pruebas diagnósticas realizadas, se busca sumar al conocimiento ya disponible sobre esta grave afección y resaltar la importancia de la vigilancia de la salud en contextos laborales con alta exposición a sustancias nocivas.

Justificación

La silicosis, un tipo de neumoconiosis causada por la exposición e inhalación continua y crónica al polvo de sílice cristalina respirable, continúa siendo un problema importante en la salud pública y laboral en todo el mundo. Esta enfermedad provoca daño pulmonar de manera progresiva e irreversible, existe evidencia de su asociación con el aumento del riesgo para padecer cáncer de pulmón, siendo una patología catastrófica con una importante limitación funcional, de igual manera progresiva e irreversible. Estudios epidemiológicos y revisiones sistemáticas han confirmado que existe una relación directa entre la cantidad de exposición acumulada a sílice y la aparición tanto de silicosis como de carcinoma pulmonar, lo que subraya la necesidad de mantener una vigilancia médica especializada en salud laboral y ambiental a los trabajadores que se encuentran en contacto con este material durante su jornada laboral (Mundt, 2025) (Rey-Brandariz, 2023).

El carcinoma de células pequeñas de pulmón avanza de forma agresiva y es descrito por algunos autores como con una evolución incierta; su asociación con la exposición a sílice ha sido documentada en poblaciones laborales con riesgo elevado, como los trabajadores del acero (García, 2023). Los mecanismos que pueden explicar esta relación incluyen inflamación crónica, estrés oxidativo y daño genético, los cuales pueden verse potenciados por otros factores como el tabaquismo, generando un efecto sinérgico en la carcinogénesis pulmonar (Fernández Álvarez, 2015) (Shahbazi, 2021).

El caso que aquí se presenta refleja la problemática antes mencionada; se presenta un trabajador con 29 años de exposición laboral a sílice, sin uso de equipo de protección personal, que desarrolló neumoconiosis con una evolución tórpida y posteriormente evoluciona a carcinoma pulmonar de células pequeñas. La presentación de este caso en este foro académico es relevante porque permite enfatizar la importancia de la prevención primaria mediante control ambiental, implementación de medidas de gestión de riesgos y vigilancia médica periódica. Así como la aplicación de protocolos de dictaminación institucionales, los cuales permiten el reconocimiento legal de la enfermedad con origen o motivo de la actividad laboral, permitiendo asegurar al trabajador la protección de sus derechos, estimular al empleador en  implementar medidas de prevención y control para reducir la exposición, además del cumplimiento estricto de la normatividad vigente como la Norma Oficial Mexicana (NOM-010-STPS-2014), que establece límites máximos permisibles de exposición y medidas de control para proteger la salud de los trabajadores expuestos a sílice y otros agentes químicos peligrosos (STPS, 2014).

 

METODOLOGÍA

Se realizó un estudio de caso tipo transversal, dado que se recopilaron datos en un solo periodo de tiempo con el expediente clínico del paciente, cualitativo, recopilando datos descriptivos sobre el caso clínico mediante la revisión del expediente clínico, interpretativo, dado que se describe el fenómeno de acuerdo a los datos documentados del paciente.

Marco teórico

Existen distintos tipos de neumoconiosis de acuerdo al agente causante, por ejemplo, la que afecta principalmente a los trabajadores del carbón, conocida como neumoconiosis antracósica, o la producida por la exposición al asbesto; sin embargo, la más conocida y estudiada ha sido la neumoconiosis por sílice. Esta enfermedad se clasifica en crónica, aguda y acelerada, dependiendo de la intensidad y el tiempo de exposición al polvo de sílice (Shahbazi, 2021). La sílice es un mineral encontrado de manera abundante en el manto externo terrestre; las formas encontradas son la sílice cristalina y no cristalina. Dentro de la cristalina se encuentran el cuarzo, cristobalita y tridimita, las mismas que la normativa mexicana vigente reconoce como silicosis cristalina respirable asociada a cáncer (STPS,2010). En etapa inicial los pacientes suelen presentar síntomas leves descritos por algunos autores como bronquitis industrial, caracterizada por tos crónica y expectoración (IMSS,2010). Esta enfermedad puede llevar a condiciones más graves como el compromiso de la función pulmonar. El diagnóstico se basa en la evaluación de la historia clínica del paciente, la exposición ocupacional y la confirmación por medio de estudios de imagen como radiografías de tórax y tomografías computarizadas (Fernández Álvarez, 2015).

La neumoconiosis por sílice es una enfermedad del intersticio pulmonar, irreversible, la cual aparece posterior a la manipulación del material, convirtiéndose este en un contaminante común del ambiente laboral, cuando por inhalación de partículas respirables de polvo de sílice cristalina y gracias a su diminuto tamaño (0.5µm), logran llegar hasta las zonas más profundas del pulmón, como los bronquiolos terminales y alveolos (STPS,2015). Esta afección se caracteriza por la inflamación del tejido pulmonar de manera crónica, asociada con la posterior aparición de fibrosis pulmonar, lo que ocasiona en el paciente una pérdida gradual de la capacidad respiratoria (Fernández Álvarez, 2015). La exposición continuada a la sílice además de asociarse con el desarrollo de neumoconiosis, incrementa también el riesgo de desarrollar otras patologías respiratorias, como la enfermedad pulmonar obstructiva crónica (EPOC) y una mayor susceptibilidad a contraer tuberculosis pulmonar. La evidencia encontrada indica que los trabajadores expuestos a altos niveles de sílice presentan un riesgo mayor de desarrollar cáncer de pulmón en comparación con la población general (Mundt, 2025) (Rey-Brandariz, 2023). La probabilidad de desarrollar cáncer de pulmón aumenta al combinarse con el hábito de fumar; dicho factor aparece de forma habitual en la población laboral (Fernández Álvarez, 2015) (Shahbazi, 2021).

Además, es importante destacar que la silicosis no solo está asociada a problemas respiratorios, sino que también se ha vinculado a un aumento en la incidencia de diversas enfermedades sistémicas con mal pronóstico funcional (Mundt, 2025) (Rey-Brandariz, 2023), haciendo que su estudio y vigilancia sean de vital importancia en el ámbito de la salud ocupacional, especialmente en sectores industriales donde la exposición a sílice es común (STPS, 2014). La aplicación de medidas de prevención debe basarse en la pirámide de control de riesgos, siendo la eliminación y sustitución del riesgo de vital importancia, considerándose las más eficaces; después se presentan controles técnicos y administrativos como la rotación del personal ocupacionalmente expuesto y, al final, el uso del equipo de protección personal, que de acuerdo a la pirámide antes mencionada es la menos efectiva, pero necesaria cuando no se pueden aplicar otras medidas, intentando reducir el riesgo laboral en trabajadores expuestos y mantener un entorno de trabajo más seguro y saludable.

El carcinoma pulmonar, una de las formas más graves de cáncer de la región torácica, se presenta con un aumento alarmante en la incidencia a nivel global. Este tipo de cáncer puede clasificarse en dos categorías principales: el carcinoma de células no pequeñas (CCNP) y el carcinoma de células pequeñas (CCP), siendo el CCNP el más frecuente, que comprende aproximadamente el 80% de los casos diagnosticados (García, 2023) (Shahbazi, 2021). Los factores de riesgo asociados con el desarrollo de carcinoma pulmonar incluyen el tabaquismo, la exposición ambiental a carcinógenos y enfermedades pulmonares preexistentes (Fernández Álvarez, 2015). En particular, la asociación entre la exposición a sílice y el carcinoma pulmonar ha generado interés en el ámbito de la salud ocupacional, dado que los trabajadores expuestos a este mineral, como los de la industria del acero, cuentan con una mayor probabilidad de desarrollar neoplasias malignas (Mundt, 2025) (Rey-Brandariz, 2023).

Los mecanismos a través de los cuales la sílice promueve la carcinogénesis pulmonar se relacionan con la inflamación crónica, el daño al ADN y la alteración de la función del sistema inmune (Fernández Álvarez, 2015). El desarrollo de cáncer puede acelerarse ante la presencia de neumoconiosis, debido a que esta provoca cambios estructurales en el tejido pulmonar, resultando fibrosis que, de acuerdo a algunos autores, puede ser un factor predisponente para el desarrollo de lesiones malignas (Fernández Álvarez, 2015) (García, 2023). Es esencial detectar el carcinoma pulmonar en etapas tempranas, lo que puede mejorar el pronóstico del paciente. Sin embargo, muchos de los diagnósticos se realizan en etapas avanzadas, lo que complica el tratamiento y reduce las tasas de supervivencia.

La relación entre la neumoconiosis por sílice y el carcinoma pulmonar es un tema que ha generado interés y preocupación en el ámbito de la salud laboral, dado que la combinación de una exposición relevante y continuada a partículas respirables de sílice u otros carcinógenos puede derivar en más casos de patologías que generan limitación funcional importante e incluso de muerte, lo anterior subraya la necesidad no solo de implementar medidas de prevención, sino de contar con un especialista en salud en el trabajo que aplique la normatividad para asegurar la protección de los trabajadores (IMSS, 2010).

Lo anteriormente descrito nos indica la importancia de implementar programas de monitoreo y evaluación para trabajadores expuestos a sílice, así como enfoques preventivos que minimicen el riesgo de enfermedad y promuevan la salud respiratoria en entornos laborales.

Presentación del caso

Se trata de un paciente masculino de 59 años, con una antigüedad laboral de 29 años en la misma empresa. Inició sus labores como operario de acabado de piezas de acero durante un periodo de siete años, de giro acerero, desempeñando sus funciones sin ningún control de riesgo. Su actividad consistía en colocar la pieza de acero en una base y, mediante el uso de esmeriles y discos, devastarla para obtener el acabado requerido en piezas de fierro gris y nodular.

Posteriormente, durante ocho años, trabajó en el área de limpieza por arenado, igualmente sin medidas de control de riesgo. La tarea consistía en colocar la pieza en la base de una maquinaria limpiadora que, al accionar una palanca, dejaba caer arena sílica sobre la superficie metálica para eliminar impurezas mediante el proceso de abrasión.

Finalmente, se reincorporó al puesto de acabado de piezas de acero por un periodo de catorce años, utilizando únicamente una franela como protección.

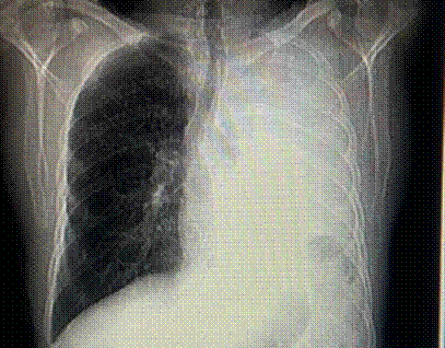
Inicia su padecimiento en octubre de 2014, de manera insidiosa con tos productiva, acompañada de expectoración blanquecina, sin predominio de horario. La tos se intensificó durante el día y ocasionalmente interrumpió el sueño nocturno. Una semana después aparecieron episodios esporádicos de hemoptisis, descritos como expulsión de pequeñas cantidades de sangre fresca mezclada con expectoración. Estos síntomas se acompañan de fiebre de predominio vespertino, escalofríos ocasionales y sudoración profusa nocturna. De forma paralela, presentó astenia, adinamia, hiporexia y pérdida de peso no intencionada de aproximadamente 7 kg en pocas semanas. Agregándose dolor torácico infraclavicular derecho, exacerbado por inspiración profunda y la tos, sin alivio significativo con el reposo o analgésicos. Persistieron la tos, la disnea leve a esfuerzos moderados y los episodios ocasionales de hemoptisis, motivo por el cual acudió a valoración médica. Sin antecedentes personales de enfermedades respiratorias crónicas o contacto con personas con tuberculosis ni viajes recientes, se decidió su hospitalización para protocolo de estudio. Realizándose de manera inicial tomografía axial computarizada (TAC) de tórax inicial, la cual reveló una imagen sugestiva de proceso neoplásico en el lóbulo superior pulmonar izquierdo. Posteriormente, en noviembre de 2014 se efectuó broncoscopia diagnóstica, evidenciándose una lesión tumoral endobronquial de la cual se tomaron biopsias dirigidas, cuyo resultado fue neoplasia maligna epitelial de alto grado, ulcerada y necrosada, del tipo células aveniformes. El 8 de diciembre de 2014, un nuevo estudio anatomopatológico confirmó la presencia de neoplasia maligna poco diferenciada, compatible con carcinoma de células pequeñas de pulmón, con abundante necrosis y una reacción linfocítica prominente. El 17 de febrero de 2015, una nueva TAC de tórax realizada en el Hospital General de Zona No. 1 mostró opacificación total del parénquima pulmonar izquierdo, compatible con progresión neoplásica (Figura 1), así como múltiples lesiones micronodulares de distribución intersticial en el pulmón derecho, sugestivas de linfangitis carcinomatosa (Figura 2). Los hallazgos radiológicos fueron además compatibles con neumoconiosis silicótica. Confirmado el diagnóstico, el paciente fue referido al servicio de Oncología, donde inició tratamiento especializado con radioterapia. La evolución radiológica evidenció progresión tumoral y compromiso bilateral con patrón micronodular difuso.

Figura 1.

Tomografía axial computada, corte axial.


Nota: Hemitórax izquierdo ocupado por derrame pleural, con desplazamiento contralateral de estructuras mediastínicas. En parénquima derecho se observa patrón micro nodular difuso peri hiliar, característico en neumoconiosis en etapa avanzada.

Figura 2.

Radiografía posteroanterior de tórax.

                                                                                                                                              

 

 

 

 

 

 

 

 

 

 

 

 

 

Nota: Hemitórax izquierdo con opacidad casi completa, borramiento de ángulos costodiafragmáticos, desplazamiento del mediastino al lado contralateral.

Diagnósticos finales

1.                   Neumoconiosis, variedad silicosis, secundaria a exposición prolongada a polvos inorgánicos (sílice) en altas concentraciones, con respuesta inflamatoria y fibrosis pulmonar, generando insuficiencia cardiorrespiratoria.

2.                   Neoplasia pulmonar izquierda (carcinoma de células pequeñas, variedad en avena), de origen multifactorial, con antecedente de exposición ocupacional a sílice, asociada a limitación físico-funcional y mal pronóstico vital.

 

RESULTADOS Y DISCUSIÓN

El paciente presentó una exposición ocupacional prolongada de 29 años a polvo de sílice cristalina respirable, sin uso adecuado uso del sistema de gestión de riesgos, desarrollando neumoconiosis por sílice y posteriormente carcinoma pulmonar de células pequeñas. Los estudios de imagen iniciales evidenciaron una opacidad total del pulmón izquierdo acompañada de lesiones micronodulares en el pulmón derecho, signos radiológicos compatibles con neumoconiosis. El diagnóstico por medio de anatomía patológica confirmó, mediante biopsia bronquial, una neoplasia maligna epitelial de alto grado, variedad células aveniformes, con abundante necrosis y reacción linfocítica prominente.

Estos hallazgos concuerdan con lo reportado en la literatura, donde la exposición crónica a sílice cristalina se asocia a un aumento importante en la ocurrencia de silicosis y cáncer de pulmón, reportando una relación proporcional entre la exposición y el efecto del agente en el tejido pulmonar (Mundt, 2025) (Rey-Brandariz, 2023) (García, 2023) (Shahbazi, 2021). La Agencia Internacional de investigación para el cáncer (IARC) clasifica la sílice cristalina como carcinógeno humano y lo coloca en el Grupo 1. Diversos estudios han mostrado que, en trabajadores con silicosis, la probabilidad de desarrollar carcinoma pulmonar es mayor que en aquellos sin la enfermedad (García, 2023) (Shahbazi, 2021). El carcinoma de células pequeñas es una neoplasia altamente agresiva y acompañada de un mal pronóstico, cuyo desarrollo, de acuerdo a ciertos autores, puede estar favorecido por la inflamación crónica y el daño en la estructura del pulmón inducido por la sílice (Fernández Álvarez, 2015) (García, 2023). En el caso descrito en esta investigación, resalta la ausencia de medidas de prevención primaria y el tiempo de exposición fueron aspectos clave para la aparición de ambas patologías.

La evidencia respalda que el riesgo de cáncer de pulmón se incrementa de forma progresiva cuando la exposición a sílice se combina con otros factores como el tabaquismo (Fernández Álvarez, 2015) (Shahbazi, 2021). Al existir estas condicionantes patológicas y cumpliendo con los elementos necesarios para la caracterización de una enfermedad profesional, como lo son latencia, intensidad y frecuencia de exposición, se puede determinar el origen laboral de la patología. Siendo importante resaltar que la legislación mexicana actual especifica que, en casos como el presentado, al no existir evidencia contundente de una etiología única o en caso de duda, prevalecerá la interpretación más favorable al trabajador, tomando en cuenta que la existencia de estados anteriores tales como idiosincrasias, taras, discrasias, intoxicaciones; o enfermedades crónicas no es causa para disminuir el grado de la incapacidad ni las prestaciones que correspondan al trabajador, permitiendo otorgar el diagnóstico con etiología ocupacional de este tipo de enfermedades controversiales, fundamentadas en la ley federal del trabajo.  Este caso subraya la necesidad de aplicar programas de vigilancia médica periódica y el cumplimiento estricto de la normatividad vigente, NOM-010-STPS-2014, así como la implementación de un adecuado sistema en gestión de riesgos laborales, con el fin de prevenir la exposición y reducir la incidencia de enfermedades ocupacionales graves. Además, resalta la importancia de una adecuada historia clínica con enfoque laboral para considerar la coexistencia de neumoconiosis y cáncer de pulmón en el diagnóstico diferencial de trabajadores con antecedentes de exposición a sílice y síntomas respiratorios persistentes.

 

CONCLUSIÓN

El caso presentado refuerza la asociación entre la exposición ocupacional prolongada a sílice cristalina, la neumoconiosis resultante y el posterior desarrollo de carcinoma pulmonar en un trabajo de la industria del acero, incrementando la evidencia científica sobre los riesgos ocupacionales para el desarrollo de neumoconiosis, así como la importancia de implementar la normatividad vigente en cuestión de prevención de riesgos para agentes químicos contaminantes en el ambiente laboral (NOM-010-STPS-2014). Además, refleja las graves consecuencias de la falta de control y gestión de los riesgos ocupacionales. La confirmación diagnóstica de neumoconiosis en trabajadores expuestos no solo requiere de la clínica e historia clínica laboral realizada por el especialista en salud ocupacional; al evaluar las imágenes diagnósticas se deben aplicar los criterios radiográficos de la Organización Internacional del Trabajo (OIT), herramienta internacional de referencia y, de acuerdo con la evidencia, estos deben ser aplicados por especialistas certificados en enfermedades ocupacionales, para garantizar un correcto diagnóstico (Delgado-García, 2023). Existe la gran necesidad de un enfoque integral en la prevención de enfermedades profesionales.

Es importante subrayar la relevancia de los servicios especializados en medicina del trabajo y ambiental para la identificación de factores de riesgo laborales, la promoción de programas de prevención y la adecuada selección de equipos de protección personal, además de cumplir estrictamente con lo establecido en la normativa mexicana vigente. Integrar estrategias de vigilancia epidemiológica, evaluaciones periódicas de salud ocupacional y capacitación continua del personal en la identificación temprana de signos y síntomas de enfermedades respiratorias asociadas a la exposición a sílice son medidas primordiales en la prevención. El reconocimiento oportuno de la relación entre el historial laboral, los hallazgos clínicos y las pruebas diagnósticas permite una intervención más temprana, que puede mejorar el pronóstico y reducir la progresión de patologías graves. La difusión de casos clínicos como el presente contribuye a sensibilizar tanto a la comunidad médica como a los empleadores y a las autoridades regulatorias sobre la urgencia de fortalecer las políticas de salud ocupacional, reforzar las medidas de control ambiental y garantizar que las evaluaciones de riesgo se realicen de manera sistemática, con el fin de preservar la salud y la vida de los trabajadores expuestos.

 

REFERENCIAS

CDC. (2025, febrero 25). Silicosis reporting guidelines. Worker Health and Safety Surveillance. https://www.cdc.gov/niosh/surveillance/respiratorydisease/silicosis-reporting.html?utm_source

del Trabajo y Previsión Social., S. (s/f). Secretaría del Trabajo y Previsión Social. (2014). NOM-010-STPS-2014, agentes químicos contaminantes del ambiente laboral – reconocimiento, evaluación y control. Diario Oficial de la Federación.

Delgado-García, D., Miranda-Astorga, P., Delgado-García, O. L., Delgado-Ostaiza, K. G., Delgado-Cano, A., Olmedo-Vera, J., Alcívar-Loor, J., Murillo-Moreira, K., Marcillo-García, T., Cevallos-Vélez, J., Santos-Pinargote, M., Romero-Meza, A., & Cevallos-Mero, T. (2023). Salud ocupacional: Mirada normativa para el diagnóstico de silicosis. Revista Republicana, (35), 249–271. https://doi.org/10.21017/Rev.Repub.2023.v35.a158

Fernández Álvarez, R., Martínez González, C., Quero Martínez, A., Blanco Pérez, J. J., Carazo Fernández, L., & Prieto Fernández, A. (2015). Guidelines for the diagnosis and monitoring of silicosis. Archivos de Bronconeumologia, 51(2), 86–93. https://doi.org/10.1016/j.arbr.2014.07.002

Fernández Álvarez, R., Martínez González, C., Quero Martínez, A., Blanco Pérez, J. J., Carazo Fernández, L., & Prieto Fernández, A. (2015). Guidelines for the diagnosis and monitoring of silicosis. Archivos de Bronconeumologia51(2), 86–93. https://doi.org/10.1016/j.arbr.2014.07.002

García, T. C., Ruano-Ravina, A., Candal-Pedreira, C., López-López, R., Torres-Durán, M., Enjo-Barreiro, J. R., Provencio, M., Parente-Lamelas, I., Vidal-García, I., Martínez, C., Hernández-Hernández, J., Abdulkader-Nallib, I., Castro-Añón, O., Piñeiro-Lamas, M., Varela-Lema, L., Fernández-Villar, A., Barros-Dios, J., & Pérez-Ríos, M. (2023). Occupation as a risk factor of small cell lung cancer. Scientific Reports, 13(1), 4727. https://doi.org/10.1038/s41598-023-31991-0

Instituto Mexicano del Seguro Social. (2010). Diagnóstico y Tratamiento de Neumoconiosis por Sílice. Guía de Práctica Clínica IMSS-382-10. México: IMSS.

International Agency for Research on Cancer. (1997). Silica, some silicates, coal dust and para-aramid fibrils: IARC monograph on the evaluation of carcinogenic risks to humans. World Health Organization.

NIOSH hazard review: health effects of occupational exposure to respirable crystalline silica. (2002). U.S. Department of Health and Human Services, Public Health Service, Centers for Disease Control and Prevention, National Institute for Occupational Safety and Health.

Occupational Safety and Health Administration. (s. f.). 1910.1053 App B – Medical surveillance guidelines. In 29 CFR 1910 – Occupation Safety and Health Standards. U.S. Department of Labor.

Rey-Brandariz, J., Martínez, C., Candal-Pedreira, C., Pérez-Ríos, M., Varela-Lema, L., & Ruano-Ravina, A. (2023). Occupational exposure to respirable crystalline silica and lung cancer: a systematic review of cut-off points. Environmental Health: A Global Access Science Source, 22(1), 82. https://doi.org/10.1186/s12940-023-01036-0

Secretaría del Trabajo y Previsión Social. (2015). Perfil de Sílice. Dirección General de Seguridad y Salud en el Trabajo. Gobierno de México.

Shahbazi, F., Morsali, M., & Poorolajal, J. (2021). The effect of silica exposure on the risk of lung cancer: A dose-response meta-analysis. Cancer Epidemiology, 75, 102024. https://doi.org/10.1016/j.canep.2021.102024